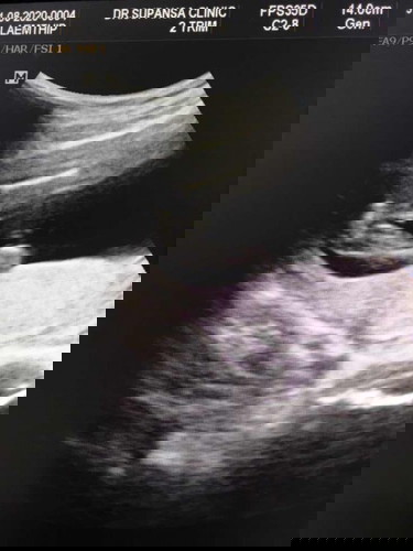
ผู้หญิงหรือผู้ชายคะ🤣
ใช่จู๋ไหมคะแม่ๆ หมอไม่ยอมคอนเฟิมให้ แต่แม่คิดคิดว่าน่าจะเป็นจู๋🤣 แม่ๆคนอื่นคิดว่าไงคะ

2 ตอบกลับ
Latest
Recommended

เขียนข้อความตอบกลับ
มาเป็นแท่งแบบนี้ชายค่ะแม่😂😂
Super Mum
คิดว่าใช่นะคะแม่ 😂😂
1 ความคิดเห็นเพิ่มเติม
6y ago
😁😁
คำถามที่เกี่ยวข้อง
คำถามยอดฮิต






คุณแม่ลูก2