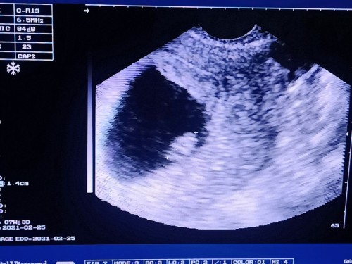
7 Weeks and 3 Days
Sino pong almost 8Weeks palang dito? Hello April Babies! ♥️♥️ Share ko lang, Sobrang liit pa pala ni Baby no? Pero may heartbeat na sya. Nakakaramdam ako ng mild cramps pero it's normal lang pala basta mild lang. Thanks God at normal ang trans V result ko. Keep safe po sa lahat! ♥️ Godbless Us


Congrats, mommy! Ganyan lang din nakita ko nung nagpa-transv ako nung 8 weeks. Parang peanut lang si baby. Kaka-transv ko lang ulit last Friday (12 weeks) and mas malaki na si baby. May arms & legs na rin. Ang sarap sa feeling na may growing baby tayo sa tummy 💞
Congrats po! Im 8weeks and 2days pregnant balak ko na din mag patrans v sana okay din baby ko ❤️
hi sis💗 8 weeks and 3 days ako now. babalik ako sa sunday for trans v. sana safe din baby ko🙏❤
yey congrats mommy! pray ka lng palagi and wag paka stress 😉
Congratulations mommy. Have a happy and healthy pregnancy. 💛
thank you and god bless po
CONGRATULATIONS po mommy. Ingat po lagi ❤️
Godbless mommy! Keep safe and healthy. ❤️
thank you po. god bless! ♥️
congratulations mommy...
thank you po
Me po team april 😊
congrats mommy! ano duedate mo?
Congrats po





Mum of 1 superhero superhero