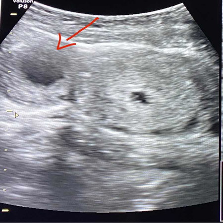
เจอซีสในรังไข่
ท้องแรกไปซาวด์มาแล้วเจอซีสในรังไข่ ตอนนี้ 7wค่ะ มีแม่ๆคนไหนเคยเป็นแบบนี้ไหมคะ คุณหมอบอกโอกาสหายเองมีตอนหลัง3เดือน รอฮอโมนส์เบาลง แต่ก็ยังรู้สึกไม่สบายใจ แม่ๆที่เคยเป็นมีวิธีดูแลร่างกายกันยังไงบ้างคะ

1 ตอบกลับ
Latest
Recommended

เขียนข้อความตอบกลับ
บ้านนี้เป็นตั้งแต่ก่อนท้องจ้า หมอเชียร์ให้รีบท้อง พอท้องได้ 3 เดือน มันยุบหายไปเองหมดเลยจ้า
อ่านเพิ่มเติมคำถามที่เกี่ยวข้อง
คำถามยอดฮิต




