สวัสดีค่ะ ครรภ์6week4วัน เจอแค่ถุงการตั้งครรภ์+ถุงไข่แดง ผิดแกติไหมคะ กังวลว่าจะท้องลม อยากมีลูกมากๆๆๆๆ ขอคำแนะนำสำหรับคุณแม่หน่อยค่ะ เราพึ่ง ท้องแรก
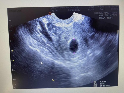
ครร6สัปดาห์เจอแต่ถุงการตั้งครรภ์กับไข่แดงถือว่าผิดปกติไหมคะ
ครร6สัปดาห์เจอแต่ถุงการตั้งครรภ์กับไข่แดงถือว่าผิดปกติไหมคะ


รอดูไปก่อนนะคะแม่