Keguguran Dan Kenapa Berlaku
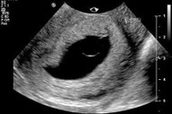
Copy from dr emelda Inilah ultrasound scan rahim ibu yang sudah hamil hampir 3 bulan. Di dalam rahimnya ada kantung kehamilan yang mengandungi air ketuban (air akan kelihatan hitam melalui imbasan ultrasound scan), tetapi tiada janin yang terbentuk di dalam kantungnya. Dari permulaan kehamilan lagi memang tidak ada janin. Inilah yang dinamakan kehamilan tanpa embryo, atau anembryonic pregnancy. 40% wanita yang mengalami keguguran ada kehamilan tanpa embryo. Ada ramai juga yang walaupun ada pembentukan janin, tetapi janin itu tidak normal dan gugur. Sebabnya ialah terdapat kerosakan baka DNA kepada benih telur atau sperma, yang apabila dipersenyawakan tidak boleh menjadi. Walaupun kita manusia yang sihat, bukan semua benih kita sempurna. Tetapi, banyak kes sebegini, keguguran tidak selalunya berlaku dengan serta-merta, sebab itulah bila kita buat ultrasound scan 8 minggu sehingga 12 minggu kehamilan, kantungnya sudah besar tetapi kosong, dan keguguran masih belum berlaku. Pada hakikatnya, untuk kehamilan yang sihat, kita sudah boleh melihat janin terbentuk melalui ultrasound scan sejak 5-6 minggu kehamilan lagi dan boleh lihat denyutan nadi jantung janin. Sudah terlalu banyak kali, saya jumpa kes sebegini bila ibu-ibu hamil datang ke klinik berjumpa dengan saya. Kebanyakannya akan mengalami keguguran dengan sendirinya sebelum 3 bulan. Mereka datang ke klinik untuk ultrasound scan kerana sudah mula melihat sedikit pendarahan menandakan proses keguguran sudah bermula. Mereka tanya saya, adakah sebabnya mereka makan buah nenas semalam, adakah sebabnya mereka minum air kelapa minggu lepas, adakah sebabnya mereka minum air tebu bulan lepas. Adakah sebabnya mereka angkat benda berat pagi ini. Adakah rahim tidak kuat. Jawapan saya ialah TIDAK, Puan. Puan tidak bersalah. Tiada makanan yang menyebabkan masalah ini, dan kegiatan fizikal anda tidak menyebabkan masalah ini. Ini bukan sebab rahim tidak kuat. Sebab itulah saya kata, jangan salahkan diri sendiri. Sebab itulah saya berkata kepada semua orang lain, jangan mencari kesalahan wanita yang mengalami keguguran. Jangan buat fitnah kepada buah nenas. Pada hakikatnya, sudah memang pun kehamilan itu tidak boleh menjadi, sebelum ibu itu makan buah nenas lagi. Credit :DrEmelda Banyak penjelasan yang saya sudah sampaikan dalam program #TanyaDrImelda Episod 3, tentang keguguran dan kenapa ia berlaku.





