Privacy PolicyCommunity GuidelinesSitemap HTML
Download our free app
99.9 K following
Vitamin anak 1 thn
Rekomendasi vitamin buat anak 1 tahun penambah nafsu makan apa ya bun?
Anak usia11 bulan
Infonya dong bun. Anak aku usia 11 mau12 bulan kalo makan tuh kaya di telen bukan di kunyah, alhasil kalo makan lauk ayam gitu dia masih melepeh dan makannya tuh sedikit sedikit bgt itu ngatasinya gimana ya bun tolong infonya dong #bantusharing #seriusnanya #pleasehelp #firstmom
PRELOVED POMPA ASI DIAMOND MOMABAE
Beli : 620 rb | Jual 420 rb Jarang dipake, karena anak lebih suka DBF #prelovedpompaasi #Preloved #prelovedalatpumping #seriusnanya #bantusharing
Obat diare anak
Obat mampetin mencret anak qra qra apa ya udh 2hr gk mampet mampet pdhal udh dirawat ..
Bekas cacar atau campak/luka
Bund boleh share dong yg punya pengalaman yg sama utk menghilangkan bekas cacar air kek koreng gt cepatbya pake apa yaaaa .. biar mulus n glowing lg.. soalny stlh kna cacar ait agak kusam gt kulitny jdinya
Perihal susu
Bunda2 ... mau nanya ni. Anak ku kan tgl 11 kmrin usia nya 1 tahun. Nah susu nya masih pake yg 6-12 atau yg 1+ ya bund??? Dan kalau tiap habis nyusu dy pup apa itu salah sath ciri gak cocok susu?? #bantusharing #seriusnanya #pleasehelp
Vitamin napsu makan untuk anak usia 1 tahun
Bun ada yg tau gk penambah napsu makan untuk usia 1 tahun yg ampuh
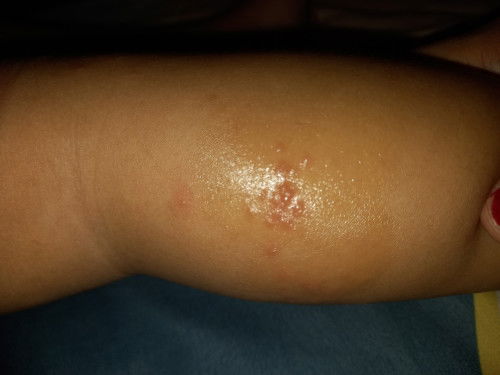
Bentol di kaki dan tangan
Bun sharing dong ada yg anaknya pernah bentol2 merah di tangan dan kaki kayak gini gak kira2 kenapa ya bun anaknya gak demam gak gatel juga kayaknya soalnya anaknya gak garuk2 di kasik salep apa ya bun
Penyakit kulit anak
Bun kalo mau berobat kulit anak satu tahun ke spesialis anak atau spesialis kulit ya?
Sedang mengandung
Bund apakah normal BBJ 1200 gr Wktu 28weeks..