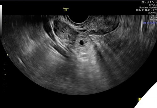
ท้องนอกมดลูกที่ท่อนำไข่ข้างขวา
ใครเคยมีประสบการณ์แบบนี้บ้างค่ะ คุณหมอฉีดยาให้ถุงตั้งครรภ์ฝ่อไปเอง แต่พอฉีดได้ 1 วันเต้านมเจ็บใหญ่ขึ้นและแข็งเหมือนมีก้อน ใครเคยเป็นแบบนี้ไหมค่ะ


เขียนข้อความตอบกลับ
เป็นคนแรกที่ตอบกลับ
คำถามที่เกี่ยวข้อง
คำถามยอดฮิต
ใครเคยมีประสบการณ์แบบนี้บ้างค่ะ คุณหมอฉีดยาให้ถุงตั้งครรภ์ฝ่อไปเอง แต่พอฉีดได้ 1 วันเต้านมเจ็บใหญ่ขึ้นและแข็งเหมือนมีก้อน ใครเคยเป็นแบบนี้ไหมค่ะ

