สับสน
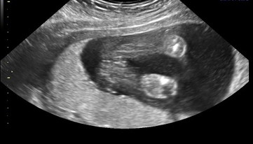
อยากถามแม่ๆๆหน่อยคะว่ารูปอัลตร้าซาวด์นี้น้องเป็นผู้หญิงหรือผู้ชายคะ อยากรู้เพื่อความแน่ใจอะคะ พอดีไปซาวด์ตอน24weekคะหมอบอกน้องเป็นผู้หญิงคะ แต่คนแถวบ้านบอกผู้ชายแน่นอนเะพราะ ดูลักษณะของท้องคือท้องออกแหลมๆๆ เราก็ซื้อเสื้อผ้าผู้หญิงไว้แล้วด้วยของใช้ก็เป็นสีชมพูด้วยเพราะเห่อมากที่หมอบอกว่าน้องเป็นผู้หญิง ?แต่มาสะดุดกับคำพูดของคนแถวบ้านนี้เงิบเลยไปไม่เป็นเลย???






