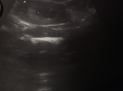
คือแบบเรามีไรจะถามค่ะคือแบบตอนนี้เราท้องได้2เดือนแล้วแต่ยังไม่เห็นตัวเด็กค่ะมีแต่ถุงจะเป็นไรไหมค่ะหรือว่ายังไง
จะเป็นอะไรไหมค่ะขอถามหน่อยนะ

Anonymous
1 ตอบกลับ
Latest
Recommended

เขียนข้อความตอบกลับ
น้องอาจจะยังเล็กเลยไม่เจอค่ะแม่ รออีกนิดถ้ายังไม่เจอก็ท้องลมค่ะ
คำถามที่เกี่ยวข้อง
คำถามยอดฮิต



