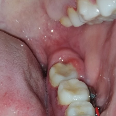
Swollen gums
Hi mommies. Ask ko lang kung ano kaya pwedeng remedy sa sobrang sakit at namamagang gums? Ang hirap kasi di pwedeng inuman ng pain killer while preggy. Di ako nakakatulog sa sobrang sakit di ako makakain at di ko masara mouth ko kasi namamaga siya. Dun pa sa part ng bagang ko pa. ??





