หมอนัด
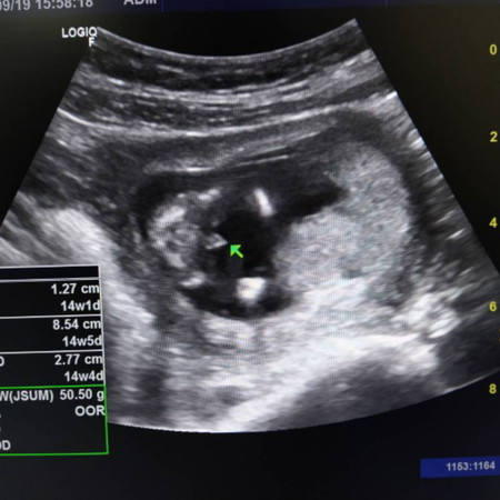
14สัปดาห์1วัน หมอบอกเพศชายจ้าแม่ๆว่าใช่มั้ยคะ

31 ตอบกลับ
Latest
Recommended

เขียนข้อความตอบกลับ
แม่บ้านนี้โชคดีจังเลยค่ะรู้เพศไวมาก แม่บ้านนี้20wหมอยังระบุชัดเจนไม่ได้เลย
14w จะไปซาววันพฤ.อยากให้เห็นชัดๆจังเลย
ชัดเลยค่ะแม่ เพศชายค่ะ ยินดีด้วยนะคะ
VIP Member
ยินดีด้วยค่ะแม่ๆ ได้เพศชายแน่นอนค่ะ
VIP Member
เห็นไวมากค่ะ ชัดด้วย ยินดีด้วยนะคะ
ใช้จ้า บ้านนี้ ผช. แบบนี้เลยจ้า 😁😁
บ้านนี้28 w แล้วยังไม่รู้เพศเลยจ้า
ชัดเลยค่ะแม่ ยินดีด้วยนะค่ะ
จู๋น้อยมาแล้วคุณแม่💓💓💓
VIP Member
จู๋โผล่เลยค่ะชาย100% 555
คำถามที่เกี่ยวข้อง
คำถามยอดฮิต




