ลูกบ่าวแม่?
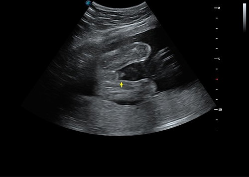
หมอบอกไม่ฟันธงหรอก ชายหรือหญิง แต่ที่ชัวร์ๆคือชาย90กว่า% 555555 แม่ๆว่าไงคะ ปล.คุณพ่ออยากได้ลูกสาว #เพื่อความบันเทิงนะคะ ไม่เอาดราม่าคะ^^


บ้านนี้ซาวมาลูกสาว ดีใจกันทั้งบ้านเลย หลานสาวคนแรก แต่อย่ามีอะไรโผล่มาทีหลังนะลูก เขาตั้งชื่อไว้ให้หนูกันแล้วนะ 55555 😂😂

บ้านนี้ หมอให้90%เปนผู้หญิง เเต่ก้อยังลังเล ยังม่กล้าเริ่มทยอยซื้อของ รอชัดเจน ค่ะ

พี่แถวบ้านตอนตรวจ18วีคโด่มาเป็นชายค่ะ พอ22วีคไปซาวอีกทีได้หญิงค่ะ ลุ้นๆค่ะ
บ้านนี้พ่อก็อยากได้ลูกสาวค่ะ แต่เห็นแบบนี้แล้วกุมขมับเลย 🤣🤣

น่าจะชายค่ะ แต่ระวังเป็นสายสะดือนะคะ คุณหมอบอกว่าบางคนดูผิดค่ะ
ปลอบใจตัวเองไว้เหมือนกันค่ะแม่😂
อาจจะผญก็ได้คะ ที่โผล่ออกมาอาจเป็นมือ ทำใจกลางๆไว้คะ
ปลอบใจตัวเองไว้เหมือนกันค่ะ 😂
บ้านนี้คุนพ่อก้ออยากได้ลูกสาวค่ะ แต่ได้ลูกชาย 😆😆
อีแม่ยังลุ้นให้ได้ผู้หญิงเด๋วเดือนหน้าไปซาวใหม่555

ใช่แม่อยากได้ยินคำนี้มาก ตอนนี้แม่ยังไม่ซื้อของเตรียมไว้เผื่อโอกาส
น่าจะชายค่ะเพราบ้านนี้ก็จับได้ท่านี้เหมือนกัน
บ้านนี้คุณพ่อก็อยากได้ ผู้หญิงคะ แต่ชัดมาก555555







คุณแม่ลูกสอง