เลือดออกตอนท้อง 4week
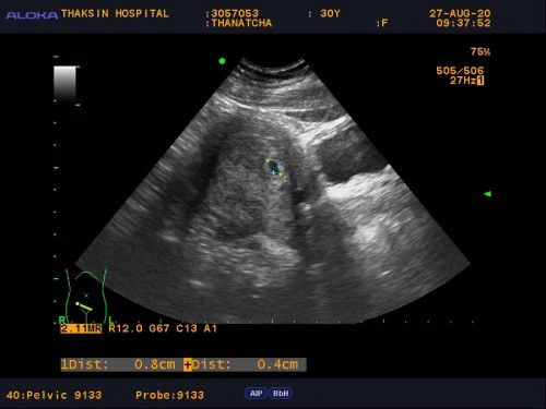
สวัสดีค่ะแม่ๆน้องแฝดทุกท่าน เราขอปรึกษาหน่อยนะคะ เราทำicsiนะคะ ใส่ตัวอ่อน2ตัวday5(บลาส) 12/8/63 ตรวจเลือดเมื่อ 12dayหลังย้ายตัวอ่อน(23/8/63) ได้ค่าbhcg 947 พอดีวันนี้เราเลือดออกเป็นสีน้ำตาลจางๆ ติดผ้าอนามัยค่ะ เลยตัดสินใจไปรพ. ขอหมอซาวด์และตรวจเลือดซ้ำ(คนล่ะหมอกับหมอที่ทำicsiให้นะคะ) ได้ค่าเลือดbhcg 6250 15day(27/8/63) ซาวด์ท้องเจอถุงตั้งครรภ์1ถุงในมดลูก แต่อยู่ในตำแหน่งที่ต่ำนิดนึง หมอที่รพ.บอกเรามีโอกาสแท้ง เลยฉีดยากันแท้งให้ค่ะ แม่ๆมีประสบการณ์แบบนี้มั้ยคะ ผ่านมาได้ยังไง เราร้องไห้กับหมอเลย ตั้งความหวังไว้มากเกิน ตอนนี้กลับมานอนเฉยๆแล้วค่ะ รอซาวด์วันที่7อีกที #ขอคำแนะนำหน่อยค่ะ #ลูกคนแรก #ท้องแรก






