น้องงงงงงงงงงงง
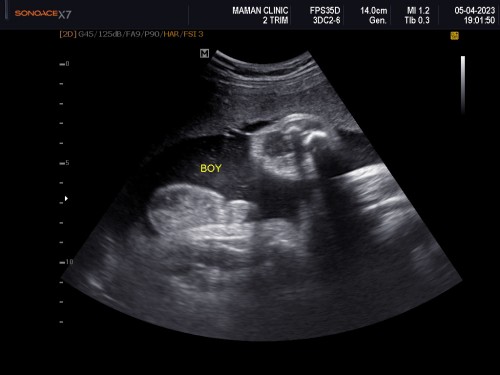
คุณหมอบอกน้องเป็นผู้ชาย อยากทราบว่าดูจากตรงไหนดูไม่ออกเลยคะ ดูไม่ออกจริงๆ
1 ตอบกลับ
Latest
Recommended

เขียนข้อความตอบกลับ
กลม ๆ ล่างคำว่า boy ค่ะ ไข่กับจู๋แบบซูมสุด ๆ ชัดเจน
คำถามที่เกี่ยวข้อง
คำถามยอดฮิต
คุณหมอบอกน้องเป็นผู้ชาย อยากทราบว่าดูจากตรงไหนดูไม่ออกเลยคะ ดูไม่ออกจริงๆ

กลม ๆ ล่างคำว่า boy ค่ะ ไข่กับจู๋แบบซูมสุด ๆ ชัดเจน