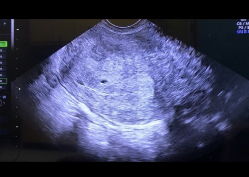
MANA SATU KANTUNG ?
Kalau ikutkan week 7 tapi doc kata kecik lagi & dia tak bgtahu pun kantung ke bukan. Anyone tahu tk mana satu kantung baby? 🥺 #pleasehelp


Sy dulu scan masa 6 weeks nampak lebih kurang mcm ni juga. Doc ckp mcm baru 2 weeks. Risau tp bersangka baik. Alhamdulillah dah 12 weeks scan baby besar dgn baik ikut minggu dia. Mungkin kecik lagi sis 😊
Yg bulat kecik tu kantung sis. Maybe sis punya bacaan week lari sikit kot. Biasa nanti doc advice repeat scan 🥰
Keciknya. Dulu sy 5w dah nampak kantung besar sikit. Doa2 la ya semoga semuanya ok :)
Kalu 5week kantung besar ibu jari doh.. Ni halus sgt mcm bru2 sgt ni
rsanyaa ni bru 5 week kot.. takpon trikh period lari skittt..
tuu yg bulat kecik kt tgh tu la kantungnya 😁
Yg bulat hitam tu kantung nya
sis tlg update
ni sis



