Kehamilan 2 bln 2 hari
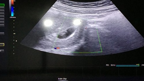
Assalamualaikum bunda...alhamdulillah mlm ini saya sudah periksa ke dokter kandungan, dan hasil usg yg skrg tidak sama dg yg kmrin periksa ke bidan. Hasilnya pun ga terlihat ada pendarahan..dan hasil hpl nya ga sama dg yg periksa ke pus dan bidan. Kalau dari pus dan bidan terhitung 7minggu kalau dokter terhitung baru 16 day dilihat dari hasil usg. Seneng banget karna terlihat jantung mau tumbuh🥺 terimakasih ya buat yg sudah doain dan memberi saran kemarin🙏 semoga bunda2 semua yg sdg mengandung sehat2 lancar sampai persalinan❤️





