ask lang po
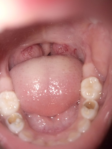
ask lang po normal lang po ba ito.. ung parang halos namamaga ung tonsil po b yan?

1 Reply
Latest
Recommended

Magsulat ng reply
VIP Member
Pacheck up mo na mamsh
Related Questions
Trending na Tanong
ask lang po normal lang po ba ito.. ung parang halos namamaga ung tonsil po b yan?


Pacheck up mo na mamsh