Privacy PolicyCommunity GuidelinesSitemap HTML
Download our free app
Be a smart and sholehah bund.
Cara ubah tanggal HPl
Bund adakah yg tau cara edit tgl hpl di apk ini gimana ya??
hipertensi bahaya kah?
Bund adakah yg tensi nya diatas 140? Sya tiap priksa slalu diatas 140. Kira2 bahaya ngga ya bund? Dan cara nuruninnya gmna ya?
21 week sering pusing sampai mau pingsan
Bund, ada ngga disini hamil 5bln yg ngrasain sering pusing sampai mau pingsan sma seperti saya? Kalau kepalanya dipijat berpengaruh utk janin ngga ya bund? Karena setiap dipijat jadi lebih enakan.
Mules di TM 1
Bund bund, adakah disini yg merasakan perut mules saat usia 12 atau selama TM 1? Saya mules udah 3hari ini tp bkan karena ingin BAB, rasanya mules saja dan ingin buang angin terus.
Mual Muntah TM 1
Saya dari usia 5w mual muntah, ini masuk usia 10w mual muntahnya malah makin bertambah. Alhamdulillah nikmat cuma jadi lemes aja dan mau makan hrs bener2 dipaksa. Ada ngga yang seperti ini juga bund?
Hasil USG bidan dan dokter beda usia
Hai bund, USG di bidan dan dokter beda usia. Sabtu kemarin USG di bidan usia 7w 5d baru keliatan kantongnya aja. Hari ini USG di Spog usianya mundur seminggu jadi 7w 1d tapi Alhamdulillah sudah keliatan djj nya 🥰. Hpht usia 9w tp USG 7w, it's okay beda seminggu yang penting debay sehat 🥰
Hasil USG 7w 5d
Hasil USG pertama usia 5w blm kelihatan apa2, 2mingguan balik USG lagi alhamdulillah sudah kelihatan kantung janinnya. Meskipun hpht 8w 3d tpi USG nya 7w 5d selang hampir 1minggu it's okay yg penting bidan bilang sehat dan normal. Minta doanya ya bund smoga sehat dan lancar sampai persalinan. Saya doakan juga smoga ibund2 kehamilannya sehat dan normal, dilancarkan dan dimudahkan sampai persalinan 🤲🥰
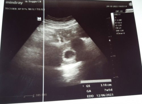
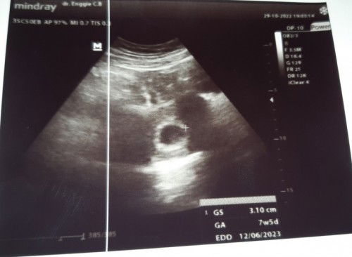
Hasil USG 7W 5D
Waktunya USG pertama usia 5w belum kelihatan apa2, Alhamdulillah USG kedua sdah kelihatan kantongnya. Meskipun hpht 8w 3d tapi USG 7w 5d tp i'ts okay yang penting bidan bilang sehat dan normal udah lega rasanya. Semoga ibun2 disini kehamilannya sehat dan normal juga, slalu diberi kelancaran sampai lahiran 😊🥰
Perut Cepat Lapar dan Mual
Bunda2 ,adakah disini yang juga merasakan sangat lapar ketika bangun tidur dan ingin mual2? Sya masuk 7w, sudah 2 hari ni tiap bangun rasanya lapar sekali dan ingin mual.
Tespek Samar
Bund, sya telat haid 9hari. Hasilnya 1 samar bgtt itu negatif atau ada kemungkinan posirif ya bund? #seriusnanya #pleasehelp #ingintahu