My Orders
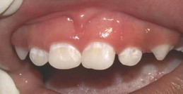
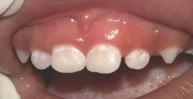
Ada yang tau gak bun obat tradisional buat sakit gigi pada anak2, anakku udah kebanyakan minum obat dokter pengennya berhenti soalnya takut AMIT AMIT ada efek sampingnya jadi pengen coba pake obat tradisional aja Anakku umur 5 thn giginya udah ompong sana sini, udah 3 dokter gigi yang aku datangin cuma dikasih obat, mau di cabut gak boleh katanya gak cukup umur mau di tambal juga gak bisa soalnya udah parah sekalinya ada yang bisa di tambal malah bernanah jadinya gak bisa di tambal Alhasil sekarang sering banget sakit gigi, aku jadi ikutan sakit bun liat anakku nangis karna giginya #mohonbantujawabbunda #bantujawab #Sharingdong_Bund #Tanya
Read more



