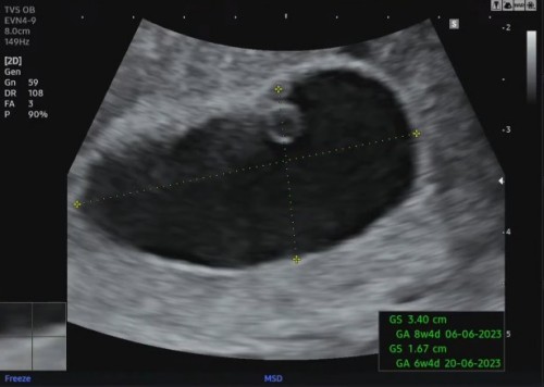
ตั้งครรภ์8wนับจากประจำเดือนล่าสุด ยังไม่เจอตัวอ่อนเจอแต่ถุงไข่แดง หมอบอกว่าท้องลม100%
ตั้งครรภ์8wนับจากประจำเดือนล่าสุด ยังไม่เจอตัวอ่อนเจอแต่ถุงไข่แดง ค่าhcg 50000+หมอบอกว่าท้องลม100% แบบนี้ยังมีหวังจะเจอน้องอีกไหมคะ รบกวนแม่ๆที่มีประสบการณ์ช่วยแนะนำหน่อยค่ะตอนนี้กังวลมากเลย หมอนัดซาวด์อีก10วันค่ะ






