theAsianparent
theAsianparent
Product Guide
Login / Signup
    • Articles
    • Community
  • Poll
  • Photos
  • Food
  • Recipes
  • Topics
  • Read Articles
    • Tracker
  • Pregnancy Tracker
  • Baby Tracker
    • Rewards
  • RewardsRewards
  • Contests
  • VIP ParentsVIP Parents
    • More
  • Feedback

Privacy PolicyCommunity GuidelinesSitemap HTML

Download our free app

google play store
app store
Tryy Astuti profile icon
SilverSilver

Tryy Astuti, Indonesia

Kontributor

Highlights

0
Followers
0
Followings

About Tryy Astuti

Ibu hamil

My Orders
Posts(1)
Photos(0)
Replies(1)
Articles(0)
Grup HPL: November 2025
11mo ago
  • Share

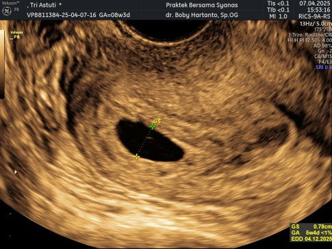
Bunda bunda adakah yang ngalamin juga seperti sya ??

Bunda bunda.. sya kemarin USG diusia kehamilan 8 week lebih 3 hari. Karena tidak terlihat janin nya, jadi saya USG transvaginal juga, tapi tetap tidak terlihat janin nya hanya kantung saja seperti difoto. Apakah masih ada harapan bunda, di 2 kedepan Minggu sudah terlihat janin 🥹🥹 Apa ada yang ngalamin juga?? Sya khawatir terus sambil menunggu USG berikutnya.

Read more
Bunda bunda adakah yang ngalamin juga seperti sya ??

13 Like

18 Reply
Answered 11mo ago by sarah puspita asti
    Bun itu normal bgt loh, dilihat dari hasil usg aja mari 5weeks kok usianya Saya aja yg udah 8weeks janinya belim kelihatan

    1 

    1 Reply

    undefined profile icon
    Write a reply

    Highlights

    0
    Followers
    0
    Followings
    My Orders
    View All
    Feed

    Feed

    Get tailored articles about parenting, lifestyle, expert opinions right at your fingertips

    Poll

    Poll

    Participate in interesting polls and see what other parents think!

    Photos

    Photos

    Share the photos of loved ones in a safe, secure manner.

    Topics

    Topics

    Join communities to bond with fellow mums and dads.

    Tracker

    Tracker

    Track your pregnancy as well as baby’s development day-by-day!

    theAsianparent

    Now available as a free app Download today!

    Google PlayApp Store

    Mums around the world

    Singapore flag
    Singapore
    Thailand flag
    Thailand
    Indonesia flag
    Indonesia
    Philippines flag
    Philippines
    Malaysia flag
    Malaysia
    Vietnam flag
    Vietnam

    Partner Brands

    Rumah123VIP ParentsMama's ChoiceTAP Awards

    © Copyright theAsianparent 2026 . All rights reserved

    • About Us
    • Privacy Policy
    • Terms and Conditions
    • Sitemap HTML
    • Tools
    • Articles
    • ?Feed
    • Poll