My Orders
ลุ้นกว่าหวย...ก็เพศลูกนี่เเหละค่ะ
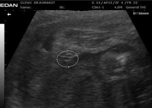
ทีมคุณแม่ ธันวาคม กำหนดแตกวันไหน น้องเพศอะไรกันบ้าง มาแบ่งปันกันชมค่ะ 31+1 สัปดาห์ #หมอบอกที่ทำวงกลมไว้ให้เป็นเพศน้องคะ แต่หมอไม่บอกนะคะว่าเพศไหน ให้ลุ้นเอา🤣 #ท้องแรกคะ นี่จู๋น้องมั้ยคะ?
Read more

Platinumกำลังตั้งครรภ์
ลุ้นกว่าหวย...ก็เพศลูกนี่เเหละค่ะ
ทีมคุณแม่ ธันวาคม กำหนดแตกวันไหน น้องเพศอะไรกันบ้าง มาแบ่งปันกันชมค่ะ 31+1 สัปดาห์ #หมอบอกที่ทำวงกลมไว้ให้เป็นเพศน้องคะ แต่หมอไม่บอกนะคะว่าเพศไหน ให้ลุ้นเอา🤣 #ท้องแรกคะ นี่จู๋น้องมั้ยคะ?
Read more