ตอนนี้ท้องได้28+3เเล้วค่ะพอดีเมื่อคืนไปนั่งขายของในงานสงกรานต์เเล้ววัยรุ่นจะ🔫เลยต้องวิ่งหนีสักพักพอสถานการณ์ดีขึ้นก็กลับมานั้งขายปกติได้10นาทีรู้สึกปวดขามากๆเเถบก้าวไม่ออกยังไม่มีอาการปวดท้องใดๆสักนิดเลยค่ะพอกลับบ้านก็ยังปวดมากๆ อยู่เลยกินยานอนค่ะคิดว่าเช้าคงหายพอเช้ามาประมาณ6โมงเช้ารู้สึกปวดท้องมากๆเลยไปเข้าห้องน้ำสรุปท้องเสียค่ะพอเข้าเสร็จมานอนต่อตื่นมาอีกทีจะลุกกินยาบำรุงเลือดเเละข้าวลุกไม่ขึ้นเลยค่ะเเม่ๆปวดท้องแบบปวดร้าวไปหมดท้องเเข็งปวดเหมือนเป็นประจำเดือนคูน3ปวดที่สุดทีนี้รวมกันไปหมดขาหลังท้องทรมานเเถบร้องเลยค่ะกะว่าจะไปหาหมอเเต่ไม่มีรถเลยค่ะพ่อเอารถไปทำงานที่บ้านมีรถคันเดียวเลยกินข้าวกินยานอนก็คิดว่าคงจะหายเหมือนเดิมสรุปพึ่งตื่นเมื่อบ่าย2กก็ยังปวดเเละปวดขึ้นเรื่อยๆไม่มีทีท่าจะหายไม่เคยเป็นเเบบนี้เลยเเล้วตั้งเเต่เช้าสังเกตุพอกินข้าวเสร็จลูกจะดิ้นเก่งมากๆวันนี้คือดิ้นเบสและไม่ถึง3ครั้งเลยค่ะหนูควรไปหาหมอมั้ยคะเเม่ๆเเต่ไม่มีเลือดหรืออะไรออกมานะคะเเค่ท้องเสียดเเละปวดท้องมากๆทั้งวัน😭#แม่มือใหม่ #ขอบคุณสำหรับคอมเม้นล่วงหน้าค่ะ
Read more

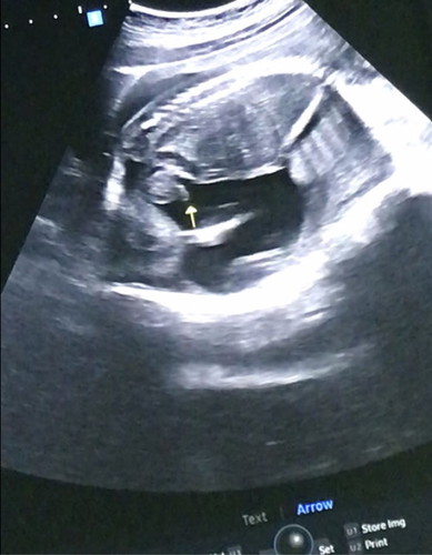
บ้านนี้ตอนไปซาวน้องอายุครรภ์ประมาณ20+2น้ำหนักน้อง717เยอะไปมั้ยคะเเม่ๆกังวลจังเลยค่ะน้องเป็นเพศชายค่ะในจอซาวก็ตัวใหญ่มากเลยค่ะเเต่ท้องหนูเล็กมากๆตอนนี้ปัจจุบัน23วีคเเล้วค่ะวันที่18หมอนัดอีกจะรอดูว่าน้ำหนักน้องเพื่มอีกมั้ยกลัวจังเลยค่ะเเต่หมอไม่ได้พูดอะไรนะคะแต่หนูกังวลไปเองเพราะเด็กทั่วไปเขาน่าจะ300-400กรัมมั้ยคะอายุครรช่วง5-6เดือนเเบบหนูจากที่หนูอ่านมา#ท้องเเรก
Read more


