สอบถามแม่ๆค่ะ
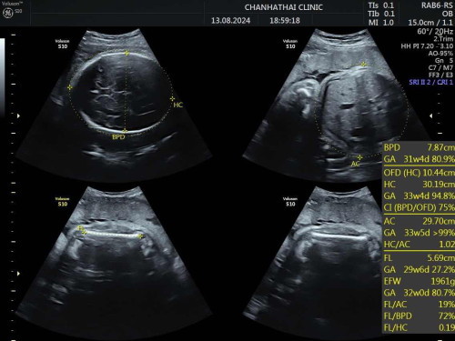
อันตร้าซาวด์ตอนอายุครรภ์ 30+1 น้ำหนัก 1961 กรัม ถือว่าปกติตามเกณฑ์ไหมคะ พอดีวันนั้นลืมถามคุณหมอ 😅


เขียนข้อความตอบกลับ
เป็นคนแรกที่ตอบกลับ
คำถามที่เกี่ยวข้อง
อันตร้าซาวด์ตอนอายุครรภ์ 30+1 น้ำหนัก 1961 กรัม ถือว่าปกติตามเกณฑ์ไหมคะ พอดีวันนั้นลืมถามคุณหมอ 😅