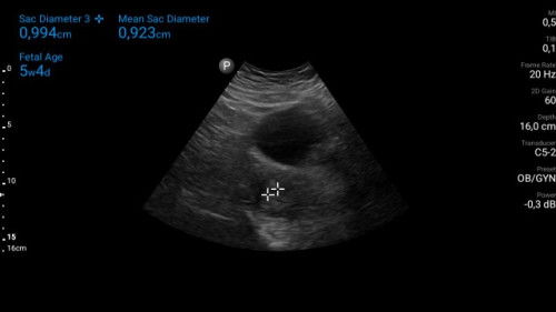
HPHT 13 feb udh telat 10 hari....tespek positif, kmrn ke dr spog utk usg....ktnya ini 5 mgg 4 hr ...
Mau tanya klo br 5 minggu emg blm terlihat janinnya ?


wajar kaa aku juga gitu baru keliatan kantongnya nanti di week 7/8 baru usg lagi. selama itu jan lupa minum air putih yg banyak dan vitamin ya bun https://s.shopee.co.id/9f6Y1kptlQ dan makan cemilan yg tinggi asam folat https://s.shopee.co.id/7fLTPXMgM6 rutin minum yg mengandung kalsium juga ya kaa, yg ini cocok untuk TM 1 https://s.shopee.co.id/1qO7vIzkBk
Baca lagikarna abis flek kak. soalnya sblm tau aku hamil sempet aku buat kerja itupun krjanya angkat² jdii bisa aja kecapean kata dokternya gitu
sama kak aku juga blm keliatan, cuma keliatan kantong hamilnya... trus suruh balik lagi bulan depan
14 februari sd 19 februari bun
saya hpht tgl 8 februari, di usg 6w blm kliatan baru kantongnya 1 bulan lg d suruh konsul lg bund buat tau perkembangan janinnya
beda sehari aku tgl 7 februari sama bilangnya 6minggu tp baru kliatan kantungnya aja
sama ka, aku jg hpht 13 feb, malah tadi aku coba usg blm ada apa2 sama sekali :( dan di suruh balik lg bulan depan jg,
udah ka, jelas bgt malah garis nya, sampe 2 kali tes
kalo aku pas USG di usia kandungan mau 8 minggu bund, dan udh keliatan janinnya serta udh ada detak jantung nya
kalo pas hamil pertama sih belum bunda, janin keliatan pas usia 13mingguann di aku kalo pas 7 8 Minggu kantong rahim
eh 8week maksudnya
saya kmaren 5 mgg masih penebalan bund, ini blm usg lg, bismillah positif thinking aja bund 🥰
kalau aku cari info2, biasanya janinya terlihat di usia 8 mingguan kak.
sama ka, HPHT ku jg 13 februari... kmren USG dan hanya kantong yg terlihat...
mungkin ngitung nya dari HPHT nya bund...
Ibu hamil