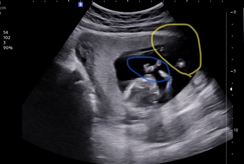
ในวงกลมสีเหลืองใช่เท้าน้องไหมคะ
13w คลิปซาวส่วนมากเห็นแต่แขน ไม่ค่อยเห็นช่วงขาหรือแม่ดูไม่ออกเองเลยจิตตกนิดนึง 😅 #ท้องแรกคะ

Anonymous
7 ตอบกลับ
Latest
Recommended

เขียนข้อความตอบกลับ
เหมือนเห็นตัวเองตอนท้องเลยค่ะ 😂 จิตตก ซาวด์ตอน 12 วีคแล้วคุณหมอไม่พูดถึงแขนขา จริงๆ น้องมีค่ะ อันเล็กๆ กำลังค่อยๆสร้างรูปร่างตัวเอง แม่ทำใจให้สบายน๊าาา บำรุงๆๆๆ ไปเรื่อย เดี๋ยวก็เห็นเต็มๆ เองค่ะ ถ้าไม่มี หมอต้องแจ้งแล้วค่ะ 🤭 ปล. บ้านนี้เคยผ่านความวิตก กังวล ตลอดการตั้งครรภ์มาแล้ว ตอนนี้คลอด 6 เดือนแล้วค่ะ
อ่านเพิ่มเติมAnonymous
3y ago