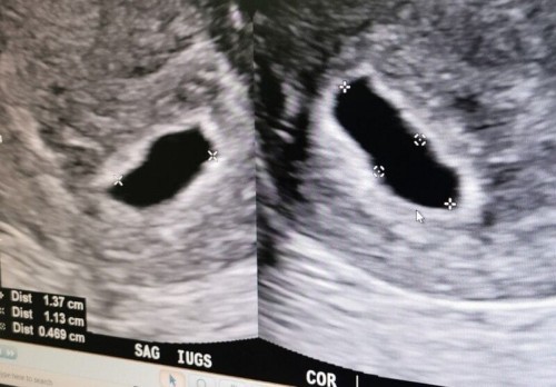
Week 5 day 5
Rushed to Kk's hospital after spotting for 2 days without cramping / pain, spent 6 hours there for all the investigations. Grateful that there is no miscarriage and no ectopic pregnancy. Based on my calculations from last menstrual date, I thought I should be at week 8.. But from the ultrasound, baby is just week 5 day 5, can only see gestational sac but cant see baby.. Anyone can't see baby too in week 5? #firstbaby #pregnancy #1stimemom #advicepls #ultrasound






